本文へスキップ

名古屋市千種区[覚王山・川名]の歯列矯正専門歯科医院[小児矯正・成人矯正]

TEL. 052-938-6358

〒464-0827 愛知県名古屋市千種区田代本通5-9 ジュネス佐久間1F

歯列矯正・矯正治療Orthodontics

歯列矯正とは?

矯正歯科 名古屋 歯列矯正とは、様々な種類の中から患者様の症状やご希望に合った矯正装置を使い、少しづつ歯並びと噛み合わせを整えて行く治療です。

 歯並びの悪さや噛み合わせの問題は、見た目を損なうだけでなく、虫歯や歯周病の原因となり、歯ぎしりや舌足らずの要因にもなります。

 そのままでは良いことはひとつもありません。
 また、白く健康的で美しい歯並びは、周りの人にも好印象を与えます。
 それは、お仕事でもプライベートでも変わりません。

 つまり、歯列矯正で美しい歯並びと噛み合わせになることで、健康と見た目の美しさを手に入れることができます。

そして、小児矯正に関していえば、顎の成長をコントロールしながら歯列を整えることができます。
当院では、小児矯正から成人矯正まで行っておりますので、お気軽にご相談ください。


矯正治療の流れ

STEP1 カウンセリング

患者さんの主な悩みを聞き、それを解決するための治療法をご提案し、分かりやすい言葉でご理解頂けるまで丁寧にご説明します。

STEP2 精密検査

レントゲン撮影・写真・歯の型どり等を行い、精密検査結果を分析し、患者さんのご希望、ご予算等を踏まえた上で、最も適した矯正法をご提案します。

STEP3 診断

患者様に丁寧にご説明し、お見積もりをお出しします。
御自宅に帰りゆっくりとご検討ください。

STEP4 治療開始

治療を希望される場合は、装置を装着し矯正治療を開始します。

STEP5 アフターケア・保定

矯正治療後は、綺麗な歯並びと噛み合わせを維持するための保定装置を付けて頂きます。


小児矯正について

顎の成長をコントロールしながら矯正を行うことが可能

小児矯正の場合は、まだ顎の成長段階にあるので、顎の成長をコントロールしながら治療をすることが出来るからです。
相談にいらしたお子様に、とりあえずすぐに治療をすすめる矯正歯科も多いのですが、当院では的確な診断の下、現時点で矯正のメリットがない場合は、治療を進めることは御座いません。
お子様の歯並びや、顎に関してお悩みの場合は、お気軽にご相談下さい。

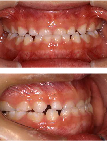
小児矯正の流れと症例写真

1.乳歯列 → 2.永久歯へ生え変わり → 3.反対咬合改善 → 4.永久歯列
下顎が上顎より前に出ているため、噛み合わせも、下の歯が前に出ています。

※ 反対咬合
顎の成長をコントロールしながら歯列を矯正していきます。


反対咬合が改善しました。




永久歯が綺麗に並び、正しい噛み合わせになりました。



小児矯正の装置について

お子様の成長段階で使う、取り外し可能な矯正装置には、色々な種類があります。
それらは、総称して「機能的矯正装置」と呼ばれています。
ここでは、その中の1つ「FKO」という装置をご紹介します。

アクチバートル、アクチベーターとも呼ばれ、治療のために設定した咬合位置で強制的に噛ませるようになっている取り外し可能な矯正装置です。


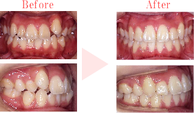
成人矯正について

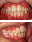
成人矯正 名古屋 症例写真

叢生 そうせい (八重歯・乱ぐい歯)

顎の大きさに対しての歯の幅が大きい場合に起こります。
顎が小さいために、歯の生える場所が足りないため、重なり合って生えてしまいます。
叢生では、歯ブラシが届きにくいところが虫歯になってしまったり、歯周病が気付かないうちに進行してしまうことがあります。


成人矯正 名古屋 症例写真

開咬 かいこう (前歯が咬み合わない)

口を閉じて歯を噛み合わせても、上下の歯の間に隙間ができてしまいます。
うまく食べ物をかみ切ることができず、はっきりと発音できないこともあります。


成人矯正 名古屋 症例写真

上顎前突 じょうがくぜんとつ (出っ歯)

上の前歯が下の前歯よりも前に出ている状態です。
口元が前に出てしまっています。
矯正治療を行うことで、歯並びだけでなく口元も綺麗になり、印象も良くなります。


成人矯正 名古屋 症例写真

反対咬合 はんたいこうごう (うけ口)

下の前歯が上の前歯よりも前に出ている状態です。
うけ口の人は、食べ物がよく噛めないだけでなく、聞きとりにくい話し方になります。 また、顔つきもしゃくれた感じになります。


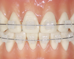
成人矯正の矯正装置について

目立たない白い矯正装置  当院で採用している矯正装置のワイヤーは白色またはシルバー色で、各治療ステップに合わせて適切なものを選択していきます。

 そして、ワイヤーをかけるブラケットは、全てジルコニア製の白色(より歯の色に近いパールカラー)で統一しておりますので、精度が高く、目立ちにくいです。


矯正治療の料金

※ 料金は税抜表示です。

検査・診断料 頭部X線規格写真などにより診断および治療方針の立案 50,000円(税抜)
第一期治療
(乳歯列〜混合歯列:成長期の治療)
上顎、下顎の成長の量、方向のコントロール及び
それを阻害する因子の除去
300,000円(税抜)
第二期治療
(I期治療後の永久歯列完成後)
マルチブラケットシステムにより歯を並べる 300,000円(税抜)
第二期治療
(永久歯が揃ってからの矯正治療)
マルチブラケットシステムにより歯を並べる 600,000円(税抜)
調整料 3,000円(税抜)
観察料 2,000円(税抜)

インプラント矯正を行う場合

追加 オプション + 30,000円(税抜)

インプラント矯正は、通常の矯正では不可能な歯の移動が可能です。
症例によってはインプラント矯正を併用することでより治療期間が短縮され、より精度が高い治療が可能となります。


バナースペース

つるさこ歯科・矯正歯科

〒464-0827
愛知県名古屋市千種区田代本通5-9

ACCESS. 覚王山駅から徒歩10分
TEL. 052-938-6358

アクセス →