本文へスキップ

覚王山・川名駅近くの審美歯科

TEL. 052-938-6358

〒464-0827 愛知県名古屋市千種区田代本通5-9 ジュネス佐久間1F

審美歯科Cosmetic Dentistry

審美歯科とは?

審美歯科 名古屋 美しい顔立ちの条件のひとつに、口元の美しさがあります。
美しい笑顔は、相手に対して生活で爽やかな好印象を与えます。
審美歯科治療で、歯の色、歯の形、歯ならびを美しくすることで、患者さんの魅力がグッと上がり、自分の笑顔に自信が持てるようになります。

保険治療には制限があり、機能回復のみに重点が置れているため、アレルギーが起こりうる可能性がある材料や、見た目の美しさに配慮していない材料を使用しなければなりません。
しかし、審美歯科治療は自費治療のため、高品質で見た目にも美しい素材を使った治療が可能です。

以下の場合は、審美歯科治療を検討されてみてはいかがでしょうか。

  • 金属の詰め物やかぶせ物が入っているが、金属アレルギーである、もしくは金属アレルギーが心配
  • 笑った時に見える、銀や金の詰め物やかぶせ物が気になる。
  • 変色した歯を白い歯に変えたい。
  • すきっ歯や出っ歯など歯並びを短期間で治したい。
  • 保険で入れた前歯の見た目が不自然なので、自然な歯に治したい。


審美歯科治療のメリット

  • 短期間で美しい歯並びや噛み合わせを実現することができます。
  • ホワイトニングで歯落ちない強い着色や変色でも、綺麗な白い歯にすることができます。
  • 審美歯科治療には様々な素材や方法があるため、歯についてのお悩みに幅広く対応できます。

審美歯科治療の種類

[1] 詰め物(インレー・アンレー)

審美歯科 名古屋歯の詰め物のことをインレーといいます。
虫歯治療等で、削った歯の穴に詰める、詰め物には、いくつかの種類があります。
最も仕上がりの美しいオールセラミックインレーは、変色しないため、綺麗な白い歯を長期に渡り保てます。

[2] かぶせ物(クラウン・冠)

審美歯科 名古屋歯の被せ物のことをクラウンといいます。
歯の全体を約1〜1.5mmほど削り、その上にセラミックのかぶせもの(クラウン・冠)をかぶせることで、ある程度までは歯並びやかみ合わせも整えることができるます。
メリットは、短期間で歯の色、歯の形、ある程度の歯並びを改善することができますが、デメリットとしては、歯を削る量が多く、場合によっては神経を取らなければならないことがあります。

[3] ラミネートべニア

審美歯科 名古屋前歯に張り付けるセラミックをラミネートべニアといいます。
歯の表面を一層(0.5〜0.8mm)削って薄いセラミックの板を歯の表面に貼り付けます。
メリットは、短期間で歯の色を白くしたり、歯と歯の隙間を埋めたり、歯の表面の形をある程度まで変えたりすることができますが、クラウンの様に、歯の形を全体的に大きく変えることが難しいです。

材料の種類と特徴

オールセラミック

全て強度の高い陶器で作られた物
変色しない

[1] 詰め物
(インレー)
[2] かぶせ物
(クラウン)
[3] ラミネート
べニア
採 用 部 位 採 用 部 位 採 用 部 位
前歯・奥歯 前歯・奥歯 前歯

メタルボンドセラミック

金属の裏打ちに陶材を盛った物
変色しない
(※ 金属アレルギーの方は使用不可)

[1] 詰め物
(インレー)
[2] かぶせ物
(クラウン)
[3] ラミネート
べニア
採 用 部 位 採 用 部 位 採 用 部 位
前歯
奥歯
前歯
奥歯
前歯

ハイブリッドセラミック

セラミック(陶材)とレジン(プラスチック)を混ぜた物
変色する

[1] 詰め物
(インレー)
[2] かぶせ物
(クラウン)
[3] ラミネート
べニア
採 用 部 位 採 用 部 位 採 用 部 位
奥歯 奥歯

ゴールド

18金ゴールドで作られた物
変色しない
(※ 金属アレルギーの方は使用不可)

[1] 詰め物
(インレー)
[2] かぶせ物
(クラウン)
[3] ラミネート
べニア
採 用 部 位 採 用 部 位 採 用 部 位
奥歯 奥歯

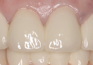
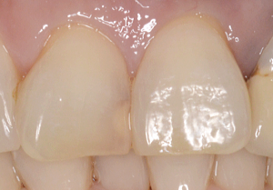
審美歯科[セラミック治療]の症例

Before After
セラミック治療 名古屋市昭和区 川名駅 審美歯科 名古屋市昭和区 川名駅

審美歯科治療では、短期間(最短2回)で軽度の歯並び、歯の色、歯の形をセラミックのクラウンやベニアによって改善することができます。


審美歯科治療の料金

審美歯科治療は、機能向上及び審美性(見た目)の良さと、安心安全な材料を採用することで、機能回復のみの制限がある保険治療の内で行うことができません。
従いまして自費治療となりますができる限り良心価格でご提供できる様尽力しております。

カウンセリングの際に、すぐに治療をはじめるのではなく、治療計画をご提案し、料金についても詳しく説明させて頂きます。
ゆっくりとご自宅に帰ってご検討ください。

かぶせ物
審美歯科 名古屋
オールセラミッククラウン 100,000円(税抜)
メタルボンドセラミッククラウン 80,000円(税抜)
ハイブリッドセラミッククラウン 60,000円(税抜)
※ ファイバーを用いた土台(ファイバーコア) 20,000円(税抜)
詰め物
審美歯科 名古屋
セラミックインレー 50,000円(税抜)
ハイブリッドセラミックインレー 25,000円(税抜)
ゴールドインレー 40,000円(税抜)
貼り付け物
審美歯科 名古屋
ラミネートべニア 100,000円(税抜)

バナースペース

つるさこ歯科・矯正歯科

〒464-0827
愛知県名古屋市千種区田代本通5-9

ACCESS. 覚王山駅から徒歩10分
TEL. 052-938-6358

アクセス →