本文へスキップ

名古屋市千種区でホワイトニングをするならつるさこ歯科へご相談ください。

TEL. 052-938-6358

〒464-0827 愛知県名古屋市千種区田代本通5-9 ジュネス佐久間1F

ホワイトニングWhitening

ホワイトニングとは?

歯のホワイトニング 名古屋  ホワイトニングは、歯にかぶせ物をしたり、歯を削ったりするのではなく、自分自身の歯の色を、白く美しく艶のある歯にする治療法です。

 歯の着色の原因は先天的なものと後天的なものに分けられ、ホワイトニングとは主に後者、後天的な原因に対して有効なものです。

 後天的な着色とは、例えば喫煙によるものや食生活(喫茶など)による原因で着色している場合のことをいい、歯科医院で施術するオフィスホワイトニングと、気軽に自宅でできるホームホワイトニングと、これら2つを併用するデュアルホワイトニングの3つの方法があります。
 


この様な方にお薦め

  • 加齢変化による歯の黄ばみが気になる方
  • 遺伝による歯の黄ばみなどが気になる方
  • 今よりも、美しく白い歯になりたい方
  • 挙式(結婚式)や、イベント、面接等を控えている方

ホームホワイトニング

気軽に自宅でできるホワイトニング

 ホームホワイトニングとは、歯科医院であなたの歯型に合わせたマウスピースを製作し、ホワイトニングの薬剤を使い、自宅で行って頂くホワイトニング法です。

 1日約1時間程度のホワイトニングを数日続けて頂くことで、歯を白く美しく保つことができます。
 ホームホワイおニングは通院することなく、好きな時間に出来るので、例えば鍛冶屋テレビを観ながらでも行って頂けます。


ホームホワイトニングの流れ

Step.1 [ 歯科医院にて ] Step.2 [ 自宅にて ] Step.3 [ 自宅にて ]
ホワイトニングの方法 ホワイトニングの方法 ホワイトニングの方法
・カウンセリング
・歯とお口の中の診断
・歯の色審査
・歯のクリーニング
・専用のマウスピースを製作
・歯磨き
・マウスピースにホワイトニングジェルを流し込む
・マウスピースを歯に装着
・ホワイトニング後口をすすぐ
・マウスピースを洗浄する

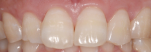
ホワイトニングの症例

Before After
ホワイトニング 名古屋市昭和区 川名駅 ホワイトニング 名古屋市昭和区 川名駅

ホワイトニングジェルにより、歯の中に染み込んでいる汚れが分解され取り除かれたことで、ご自身の歯の色が白くなりました。
ぱっと見ただけで、とても白くなったことが分かります。
歯の色が白くなったことで、清潔感が増し、お顔の印象もとても明るくなりました。


ホワイトニングの料金

 歯科医院で使われているホワイトニングの薬剤は、歯科医のみしか購入および、使用することができない高濃度で効果の高い薬剤です。
 巷にあふれるセルフホワイトニングで取り扱われているホワイトニング剤や市販のホワイトニング剤とは全く異なるため料金もおのずと高くなります。

 ¥40,000〜(税抜)/1式


ホワイトニングの予約について

 ホワイトニングはお時間を頂くため、予約が取り難いことが多々ありますが何卒ご了承願います。
 また、結婚式や各種イベントを控えている方は、イベント当日の2週間以上前にお電話にてご予約ください。
 ホワイトニングに関して心配な事やご質問がありましたら、どの様な事でもお気軽にご相談ください。

 メール相談 →


バナースペース

つるさこ歯科・矯正歯科

〒464-0827
愛知県名古屋市千種区田代本通5-9

ACCESS. 覚王山駅から徒歩10分
TEL. 052-938-6358

アクセス →